- November 10, 2022
- Jamshed
- Comment: 0
- Uncategorized

Every day, we watch movie stars or Instagram influencers with flawlessly white, straight teeth. This is as a result of a smile makeover treatment and teeth whitening.
People often refrain from smiling, fearing that others will notice their oral issues and flaws. However, dentists have a solution to this, and you can also achieve a ‘Hollywood’ smile. In this blog we will tell you how you can also get a smile makeover.
Do you know?
Cosmetic dental work helps improve your smile and raise your self-esteem. Your dentist can repair teeth that are broken, chipped, cracked, have spaces between them, or are discoloured using ‘Composite bonding’ or ‘Porcelain Veneer’ and give you a dream smile makeover!
In addition to repairing cavities or damaged teeth, these dental procedures can be utilised to enhance the aesthetics of healthy teeth. The colour, shape, and angle of your teeth can also be changed using Composite bonding or Veneers.
If you’re considering Composite bonding or Veneers as your treatment options, it is necessary to know the basics of these procedures.
In this blog, you will learn about;
Comparison between Composite bonding and Veneers?
Which treatment option is best for you
What is Composite bonding?

Composite bonding can rebuild missing tooth structures, repair chipped teeth, or restore teeth for aesthetic purposes. To alter the shape or colour of natural teeth, the dentist can attach resin material called composite. In addition, minor cosmetic issues like tiny chips or gaps are typically addressed with Composite bonding.
The result is a complete set of tooth structure.
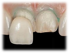
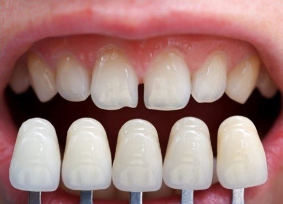
What are Veneers?

Veneers are shells attached to the anterior surfaces of the teeth and are extremely thin. Veneers completely cover the tooth’s surface giving you a completely new teeth structure.
Two types of materials are commonly used for Veneer build-up are:
Composite or Direct veneers

Porcelain or Indirect Veneers

Comparison between Composite Resin Veneers and Porcelain Veneers
· Strength
Compared to Composite resin veneers, Porcelain veneers are far more resistant to wear and tear and do not change colour.
· Dental Visits
Composite (direct) veneers require one visit to the dentist. Whereas, Porcelain veneers require at least two dental visits. Porcelain Veneers need to be prepared in a dental laboratory before placement in the mouth. Hence, first visit is for assessment and the second visit for placement of Veneers.
· Durability and Cost
Porcelain Veneers last longer than Composite resin veneers. Porcelain Veneers range in price from £ 650 per tooth and last for at least 8 to 16 years. Composite veneers are significantly less expensive, costing about £250 per tooth, and would ideally last for 6 to 8 years.
Composite bonding vs Veneers: Which treatment option is best for you?
· Tooth preparation
Typically, a tiny layer of tooth enamel (the outermost layer of teeth) is removed by the dentist for the placement of Porcelain Veneers on teeth. The veneers will fit better over your natural tooth.
The dentist, before applying Composite bonding, roughens the tooth surface so the Composite resin can adhere properly to the tooth surface.
If you don’t want to remove your natural teeth, then Composite bonding is the best option, as it requires less tooth preparation.
· Cost
Porcelain Veneers often cost more than Composite bonding. Composite bonds are fixable if they are damaged, whereas broken veneers require replacement.
If you have an affordability issue you can choose Composite bonding for your smile makeover.
· Durability
Both are capable of lasting several years with careful maintenance. However, If you want longevity and durability then you should choose Porcelain veneers.
Are Veneers best option for you?
After reading information about both procedures, if you have selected Porcelain veneers as your treatment option then consider the following;
- You want to address issues including cracked, chipped, or discoloured teeth
- Your teeth are straight as extreme malalignment of teeth can cause the veneers to crack.
- If a tooth is infected with periodontal disease or decayed (gum disease), these problems need to be dealt with first. If too much tooth structure is lost, a crown can be a solution.
- A tooth with little enamel left over won’t hold a veneer on it well. The enamel should be strong enough to support veneers.
- You should have good oral hygiene before receiving treatment.
- Bruxism is the term for the habit of grinding or clenching one’s teeth. The habit of bruxism can break or harm porcelain veneers.
Is Composite bonding best option for you?
If you have chosen Composite bonding as your treatment option you must know if that’s the best option for you and consider the following;
- You want to fix minor cosmetic issues like small gaps between your teeth, shorter teeth that you’d like to lengthen, or minor damage like cracks or malformed teeth.
- There is sufficient tooth structure left that your dentist can use to build up the tooth.
- You want a quick fix to above issues during one visit to your dentist
- You have good oral hygiene.
Conclusion
Both treatment options have their pros and cons. If you want perfect aesthetics along with durability then probably Veneers are better option for you. Composite bonding is a good alternative to Veneers for minor aesthetic issues.
If you are considering one of the above treatment options or interested in getting a complete smile makeover, then do contact us to book a consultation by calling on 0208 492 0020

