Orthodontics
Orthodontist in Finchley, London
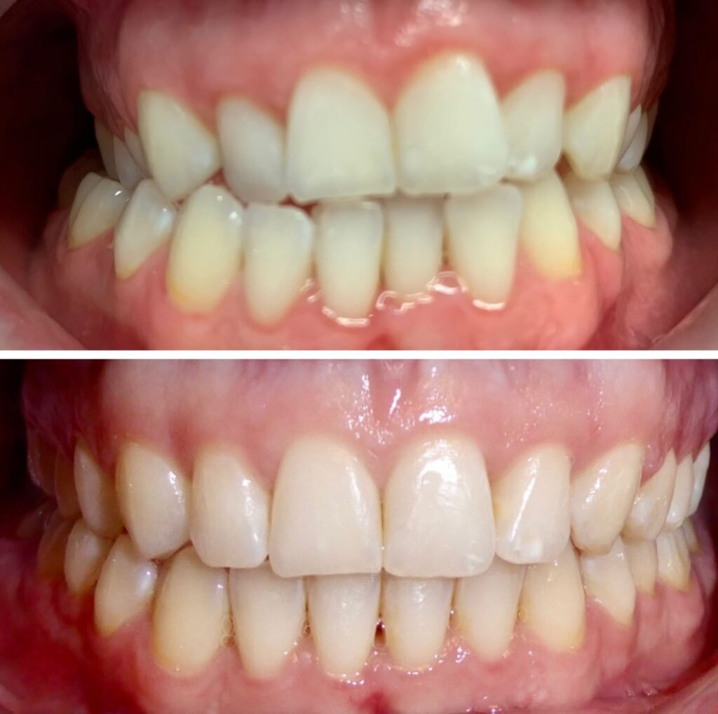
Orthodontics treatment is designed to straighten crowded or crooked teeth, enhance your smile, and improve the way your teeth bite together. It also makes oral hygiene easier by reducing hard-to-reach areas. Additionally, orthodontics can correct misaligned bites, which may help alleviate strain on the jaw muscles, reduce joint problems, and even prevent headaches caused by bite issues.
Family Orthodontist in Finchley
At Finchley Dental Studio, our experienced Orthodontist, Mr. Asim Shaikh, specialises in providing tailored orthodontic solutions. With years of expertise in Orthodontics, Mr. Shaikh is dedicated to helping you achieve your dream smile through trusted, professional advice and personalised treatment plans.
Your Orthodontics Journey
Before starting your orthodontics treatment, a comprehensive dental examination is essential. This process includes:
- Full Mouth X-rays or Digital Scans: Advanced imaging to assess your teeth and jaw alignment.
- 3D Digital Scanning: Our state-of-the-art scanner creates a precise model of your teeth, enabling us to tailor a treatment plan.
- Treatment Simulation: Through the 3D scan, we can show you the journey from start to finish, giving you a clear picture of your progress towards a confident, straight smile.
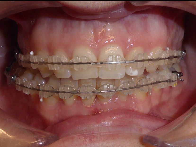
Types of Orthodontic Treatments We Offer
We provide a wide range of orthodontic solutions for both adults and children, ensuring there’s a treatment option for everyone:
- Lingual Braces: Fixed braces that are attached to the back of the teeth, making them nearly invisible.
- Clear Aligners: Custom-made aligners that are clear, comfortable, and removable.
Why Choose Finchley Dental Studio for Orthodontics?
- Specialist Expertise: Our orthodontist has years of experience in the field and provides honest assessments and tailored to your needs.
- Cutting-Edge Technology: With advanced digital scanning and treatment simulation, you can visualize your results before starting.
- Comprehensive Care: We offer a full range of orthodontic solutions for adults and children, ensuring a comfortable and effective experience.
Book Your Orthodontic Consultation in Finchley Call us on 0208 492 0020
Start your journey to a straighter, healthier smile with our expert Orthodontist in North Finchley at Finchley Dental Studio.
Clear aligners (Invisalign or Spark aligners)

Ceramic braces
(less visible)

Traditional metal braces with metal brackets

Benefits of Clear Aligners
- Discreet Appearance: Clear aligners are virtually invisible, allowing you to straighten your teeth without anyone noticing.
- Enhanced Comfort: No wires or brackets mean less irritation, making the treatment more comfortable.
- Flexibility: Aligners are removable, so you can eat, brush, and floss with ease. You can also remove them for important events, like presentations or meetings.
- Speech Confidence: Clear aligners stay firmly in place, ensuring no disruption to your speech.
- Maintenance of Results: Aligners can be used after orthodontic treatment to maintain your results and prevent teeth from shifting back.
How Do Clear Aligners Work?
Clear Aligners use a series of custom-made aligners to gradually shift your teeth into their ideal position. Each aligner is worn for approximately 1-2 weeks before progressing to the next set. The treatment is designed to fit seamlessly into your lifestyle, giving you a path to a straight smile with minimal disruption.
Are Clear Aligners Suitable For You?
- If you have mild to moderate misalignment or crowding.
- Adults and teens seeking a discreet orthodontic solution.
- You would prefer a removable alternative to traditional braces.
- If so, Clear Aligners are a perfect solution for your to straighten your teeth discreetly.
Get Started with Clear Aligners in Finchley
Ready to achieve a straighter smile with Clear Aligners in North Finchley? Contact Finchley Dental Studio to book your Orthodontist consultation for Clear Aligners. Our specialist team will guide you through the process and create a personalised treatment plan tailored to your needs under the care of our experienced Orthodontist in Finchley.

